Ein Leberabszess ist eine abgegrenzte Eiteransammlung (Abszess) im Lebergewebe. Er kann primär durch Bakterien (z. B. Escherichia coli, Staphylococcus aureus), parasitische und einzellige Infektionserreger (z. B. solitäre Leberabszesse verursachende Art Entamoeba histolytica bei der Amöbenruhr) oder sekundär nach einem operativen Eingriff entstehen. Die Erreger können über das Blut (hämatogen), die Lymphe (lymphogen) oder die Gallengänge (cholangiogen aus einer eitrigen Cholangitis) in die Leber vordringen. Über die Pfortader können Erreger von entzündlichen Herden (zum Beispiel bei eitriger Appendizitis) ebenfalls in die Leber gelangen und so Abszesse entstehen lassen.
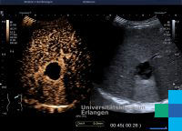
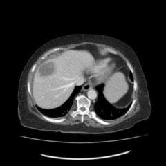
Die Symptome eines Leberabszesses sind meist hohes Fieber, Leberdruckschmerz, Übelkeit und Erbrechen, Gelbsucht und Anämie. Die Diagnose wird mittels Ultraschalluntersuchung und einer CT-Aufnahme gesichert. Die Therapie erfolgt medikamentös (durch hochdosierte Antibiotikagaben), durch eine perkutane Drainage oder durch chirurgische Entfernung der Abszesshöhle eventuell durch eine Segmentresektion. Als Komplikationen eines Leberabszesses gelten eine Sepsis oder Ruptur der Abszesshöhle mit Durchbruch in die freie Bauchhöhle und nachfolgender Bauchfellentzündung.
Einzelnachweise



![]()
